なぜ、「脱・銀歯」 が
必要なのでしょうか?
これまで当たり前だった「銀歯」という選択肢。
しかし、銀歯は虫歯が再発しやすく、
将来抜歯になるリスクが高いことをご存知ですか?
たしかに保険診療適用の銀歯は、一時的には安価に治療が完了しますが、一生自分の歯で噛みたいとお考えの方にはベストな選択とはいえません。

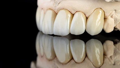
金属を使わない治療
これまで当たり前だった「銀歯」という選択肢。
しかし、銀歯は虫歯が再発しやすく、
将来抜歯になるリスクが高いことをご存知ですか?
たしかに保険診療適用の銀歯は、一時的には安価に治療が完了しますが、一生自分の歯で噛みたいとお考えの方にはベストな選択とはいえません。

最新の歯科医療では、
銀歯に比べ虫歯が再発しにくい
「メタルフリー」という選択が新しいスタンダードになりつつあります。

銀歯が
めだつ
銀歯の下が
虫歯になる
治療するたびに
歯が
減っていく
歳を重ねても
自分の歯を
残したい
メタルフリー治療は、このようなお悩みをお持ちの方に最適な治療です。
あなたの歯を
「削りすぎない」
「守り抜く」
ことを最優先します。
金属アレルギーの心配がなく、天然歯のような自然な白さを再現。 心からの安心と自信を提供します。
虫歯の部分だけをピンポイントで除去し、健康な歯を最大限に残します。
※MI= Minimal Intervention
歯を削る量を最小限にする治療
メタルフリーの接着方法では、分子レベルで歯と一体化させることができるため、細菌の侵入を防ぎ、虫歯の再発を強力に防ぎます。

「ただ詰める」のではなく、
「美しく、強く、Micro-Precision Adhesion
メタルフリーは、実は金属治療よりも繊細な技術を必要とします。
当院の歯科医師は、一つひとつの工程に妥協せず、精密な処置を行います。
Custom-Made Treatment Planning
一人ひとり違う咬み合わせや症例に合わせて、最適な材料をプロの視点からご提案します。
分割払い
可能
2年間
完全保証
クレジット
カード
利用可能

欠損した部分の両隣にある健康な歯を「橋げた」にして、 人工の歯を「橋」のように架ける構造をしています。

¥457,600
歯の溝や一部だけが欠損している場合に、 その穴にパズルのピースのようにはめ込むのがインレーです。

¥69,300

¥96,800

¥124,300
歯の全体をすっぽりと覆う「被せ物」のことです。 歯を大きく削った場合や、歯の神経の治療をした後に、 残った歯の強度を補うために装着されます。

¥166,100

¥137,500

¥96,800
「接着の質」が違うからです。 銀歯は金属と接着剤の隙間から細菌が侵入しやすいので、虫歯が再発しやすいですが、メタルフリーの接着方法は分子レベルで歯と密着するため、虫歯が再発しにくい特徴があります。
メタルフリーです。 銀歯は固定するために歯を多く削る必要があり、再治療のたびに歯が寿命に近づきます。歯より硬いので歯の根が割れて抜歯になる可能性も高いです。一方、メタルフリーは悪い部分を最小限に削り、天然歯に近いしなやかさな素材で歯根破折リスクも抑えられます。
銀歯は金属アレルギー、歯茎の黒ずみのリスクが
あります。
メタルフリーはこれらの心配がなく、金属アレルギーの方も安心して白く美しい状態を維持できます。
メタルフリーは自由(自費)診療です。
メタルフリーは自由診療(自費)となりますが「将来的な再治療のリスク」や「歯の寿命」を考えると、長期的なメリットが非常に大きい治療法と言えます。
被せ物の素材別に、特徴や強度、審美性、コストについて比較表にしました。
ジルコニア(自費)
|
セラミック(自費)
|
ハイブリッド(自費)
|
レジン(保険)
|
銀歯(保険)
|
|
|---|---|---|---|---|---|
| 特徴 | 最強の強度と美しさ | 天然歯のような透明感 | 硬すぎず歯に優しい | 原則、詰め物(インレー)のみに対応。*1 | とりあえずの修理 |
| 耐久性 | ★★★★★人工ダイヤモンド素材で、割れる心配がほぼありません。 | ★★★★非常に長持ちしますが、極稀に欠けることがあります。 | ★★★数年で少し変色や摩耗の可能性があります。 | ★変色や摩耗が早く、強度が不十分な場合があります。 | ★平均5年で劣化。再発リスクが最も高いです。 |
| 清掃性 | ★★★★★汚れが最もつきにくく、 歯周病予防に最適。 |
★★★★表面が滑らかで、 プラークを寄せ付けません。 |
★★★プラスチック混じりのため、 やや汚れがつきやすい。 |
★傷が非常につきやすいため、 プラーク(細菌)が停滞しやすい。 |
★傷がつきやすく、 細菌の温床になりやすい。 |
| 見た目 | 非常に白く、 奥歯でもずっと綺麗。 |
前歯にも使えるほど、 本物の歯にそっくり。 |
自然な白さですが、 経年で多少黄色味を帯びます。 |
最初は白いですが、数ヶ月〜1年で黄色く変色し、光沢が失われます。 | 金属色が目立ち、 歯茎が黒ずむことも。 |
| 金属アレルギー | なし | なし | なし | なし | リスクあり |
| こんな方に | 「一生持たせたい」 「噛む力が強い」方 |
「とにかく綺麗に」 「自然に治したい」方 |
「銀歯は嫌だけど」 「費用を抑えたい」方 |
「なるべく安く」 「白ければ質は問わない」方 |
「まずは安く」 「見た目は気にしない」方 |
| 保証期間 | 5年間(完全保証) | 3年間(完全保証) | 2年間 | なし | なし |
*1 クラウンには対応できません。
お悩みをお伺いし、お口の状態を詳しく調べます。
最適な素材や費用をご説明します。
※無理な勧誘やはいたしませんのでご安心ください。

古い銀歯を外し、セラミックを入れるための精密な型を取ります。
完成したセラミックの歯をセットし、噛み合わせを微調整します。
美しさと健康を長持ちさせるため、定期検診でサポートします。


メタルフリーは、あなたの健康資産を永く守り、
将来的な治療費用を抑えることにつながります。
10年後、20年後に
「あの時、良い素材を選んでおいてよかった」
と思っていただくこと。
それが、私たちが精密なメタルフリーを推奨する最大の理由です。
当院では、患者様のお悩みやご要望に応じて、最適な治療プランをご用意いたします。
24時間受付の初診WEB予約よりご予約ください。